<歯科医師が解説>なぜむし歯は象牙質で急速に進むのか?-せめてエナメル質でむし歯を止めたい理由とその方法
<この記事の概要>
むし歯は、硬いエナメル質を越えて象牙質に達すると、一気に進行が速まります。象牙質は酸に弱く細菌が広がりやすいためです。だからこそ、エナメル質の段階で見つけて止めることが大切。その鍵は、定期的なレントゲンとフッ化物ケアです。
執筆は歯科医師の加藤大明が行いました。

目次
象牙質とは?
歯の外側を覆う硬い「エナメル質」の下には、象牙質(ぞうげしつ)と呼ばれる層があります。
象牙質は、歯の内部にある神経(歯髄)とつながっており、無数の細いトンネルのような管(象牙細管)が通っています。
この構造のため、象牙質はエナメル質より柔らかく、刺激や酸に弱い性質があります。
歯の色がやや黄みがかって見えるのも、半透明のエナメル質を通して象牙質が見えているからです。
なぜ象牙質では虫歯が早く進むのか
エナメル質はほとんどが硬いミネラルでできているため、むし歯が進むスピードはゆっくりです。
しかし、ひとたび象牙質に到達すると状況が変わります。
- 酸に弱い構造:象牙質は有機成分(コラーゲンなど)が多く、酸で溶けやすい。
- 象牙細管を通る通り道:管の中を通って酸や細菌が奥まで届きやすく、広がりが速い。
- 神経との近さ:刺激が神経まで伝わりやすく、炎症が起こると痛みが出る。
研究では、象牙質むし歯はエナメル質むし歯の約2~3倍の速さで進行すると報告されています(Mejàre, 1999)。痛みを感じた時点では、すでに歯の中で大きく広がっているケースが少なくありません。
だからこそ「エナメル質段階」で止める
エナメル質のむし歯(初期う蝕)は、削らずに再石灰化で回復できることがあります。
この段階で発見し、進行を止めるためのポイントは次の2つです。
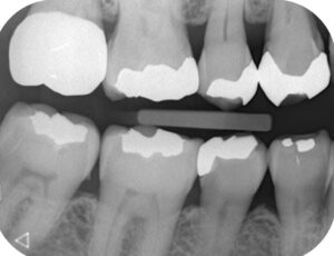
見た目ではわからない「歯と歯の間のむし歯」も、X線なら早期に発見できます。
成人では6~24か月ごとの撮影が推奨されています(Pitts, 1996)。

②フッ化物でエナメル質を強化
フッ化物は、歯の表面に取り込まれて酸に強い結晶を作り、再石灰化を助けます。
毎日のフッ化物配合歯磨剤(成人:1500ppm程度)に加え、歯科医院での高濃度フッ化物塗布も効果的です。
まとめ
- 象牙質は柔らかく、細管構造のためむし歯の進行が速い。
- エナメル質のうちに発見すれば、削らずに管理できる可能性がある。
- 定期的なバイトウィング撮影とフッ化物ケアで、「痛みが出る前に止める」ことができる。
むし歯がないかご不安な方はどうぞご遠慮なくおたずねください。
<参考文献>
- Mejàre I, Källest l C, Stenlund H. Incidence and progression of approximal caries from 11 to 22 years of age in Sweden: A prospective radiographic study. Caries Res. 1999;33(2):93-100.
- Pitts NB. The use of bitewing radiographs in the management of dental caries: scientific and practical considerations. Dentomaxillofac Radiol. 1996 Jan;25(1):5-16.
フッ化物についての過去記事はこちら→https://yoboushika.jp/school/fluoride1/
乳幼児のむし歯予防の記事はこちら→https://yoboushika.jp/school/cavity_prevention/
診察をご希望の方はお電話でご予約ください。
福岡院(福岡市中央区桜坂)092-707-3071
こくら院(北九州市小倉北区黒原)093-931-2922