<歯科医師が解説>歯科メインテナンス時に注意しているポイント①
<この記事の要約>
ポケットが“急に深くなる”ときは、歯の根のヒビ(垂直性歯根破折:VRF)の可能性があります。
歯周病だけが原因ではありません。
メインテナンスで突然1本だけ深いポケットが見つかった場合、要注意です。
歯の根にヒビが入ると、周囲の組織が炎症を起こし、ポケットが短期間で深くなることがあります。特に痛みがなく進行することも多いため、メインテナンス時のチェックが大切です。
予防法としては、根管治療後はできるだけ早くクラウン(被せ物)で歯を保護する、ナイトガード(マウスピース)で夜間の歯ぎしり対策を行うなどを行うことがあります。歯科医師は、歯周病と区別しながら慎重に診断を行います。
執筆は歯科医師の加藤大明が行いました。
目次
ポケットが“突然深くなる”とき、垂直性歯根破折(VRF)を疑う
メインテナンス時の歯ぐきチェックで、
「この歯だけポケットが急に深くなっていますね」と言われた経験はありませんか?
多くの方は「歯周病が進んだのかな?」と考えると思います。
しかし実は、その“急なポケットの深化”が、歯の根のヒビ=垂直性歯根破折(VRF)のサインであることがあります。

VRFとは?
VRF(Vertical Root Fracture)とは、歯の根が縦方向に割れてしまう状態のこと。
特に、根管治療を受けた歯に起こりやすいとされています。
2022年の国際誌(International Endodontic Journal)に掲載されたPatelらのレビュー論文では、
「深く、孤立した歯周ポケットは、長期的な垂直性歯根破折を示すサインであり、根の両側に確認されれば診断的特徴である。」
と記されています。
つまり、「全体的に」ではなく「特定の歯だけが、ある日突然深くなる」――
これがVRFを疑う重要なサインなのです。
なぜポケットが急に深くなるのか
歯の根に小さなヒビが入ると、そこから細菌が入り込み、
その周囲の骨や歯ぐきの組織が溶けてしまうことがあります。
この現象が進むと、ある日突然、6mm以上のポケットができることがあります。
VRFでは次のような特徴が見られることが多いです:
- 一部分だけ、深いポケット(特に6mm以上)
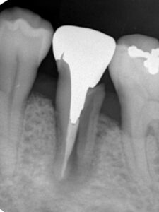
- X線で「J型」や「ハロー型」の骨吸収像
- 咬むと軽い痛みがある
- 同じ場所に小さな膿の出口(サイナストラクト)ができることがある
これらは、通常の慢性歯周病とは異なるパターンです。

北欧歯科でのチェック体制
北欧歯科では、定期メインテナンスのたびに以下の点を確認しています:
- 前回データとの比較
同じ歯のポケットが、前回より2mm以上深くなっていないかを確認。 - 孤立性かどうかのチェック
全体でなく、その歯だけ急に深い場合は要注意。 - 画像診断の活用
デンタルX線やCBCT(3D画像)で、骨の吸収形態を確認。
J型やハロー型の吸収なら、VRFの可能性が高いです。 - 咬合や力のかかり方を評価
偏った噛み合わせや歯ぎしりなども、破折の原因になることがあります。
これらの情報を総合して、必要な場合はマイクロスコープで詳細を確認します。
VRFを防ぐためにできること
VRFは自然に治ることはありません。
しかし、予防と早期発見で歯を守ることはできます。
- 根管治療後はできるだけ早くクラウン(被せ物)で歯を保護する
- ナイトガード(マウスピース)で夜間の歯ぎしり対策を行う
- 定期メインテナンスで小さな変化を見逃さない
VRFについて不安のある方はどうぞ遠慮なくお尋ねください。
クラウンの種類についての過去記事はこちら→https://yoboushika.jp/school/ceramics1/
クラウンの重要性についての過去記事はこちら→https://yoboushika.jp/school/crown1/
ナイトガードについて過去記事はこちら→https://yoboushika.jp/school/sleepbruxism/
<参考文献>
診察をご希望の方はお電話でご予約ください。
福岡院(福岡市中央区桜坂)092-707-3071
こくら院(北九州市小倉北区黒原)093-931-2922